奚德华 梁有志 尹丽萍 王姣 辜新贵 阎晓东 庄新娟 钱琨 秦爱建 刘岳龙
常州市动物疫病预防控制中心
江苏立华牧业有限公司
扬州大学
禽白血病病毒 (ALV) 可引起禽类各种良性和恶性肿瘤, 属于反转录病毒科。依据病毒囊膜糖蛋白的抗原性差异、 病毒干扰试验、 宿主范围和基因组的特性, 禽白血病病毒已分类至10个亚群,命名为A~J亚群。最近, 我国崔治中教授研究组又鉴定出了一种新的亚群-K亚群。禽白血病在我国感染严重, 目前约80%的省份均有该病报道。统计显示, 该病感染的鸡群范围不断扩大,最初在肉鸡中多发, 目前在蛋鸡中的发生也不断增加, 我国地方品种鸡也有较高的感染率和发病率, 给家禽业造成了严重的损失。该病尚无切实可行的治疗方法, 也无有效的疫苗, 因此通过准确、 合适的检测方法来培育无 ALV 感染种鸡群是防控禽白血病的主要手段。目前, 国内外已经建立了许多禽白血病的检测方法, 如酶联免疫吸附试验 (ELISA) 、 PCR、RT-PCR、 原位杂交 (ISH) 、 间接免疫荧光 (IFA)等, 这些方法各有优缺点。哪种方法最适合于我国现阶段规模化种鸡群的禽白血病净化,值得探讨。
本文从规模化种鸡场分别采集疑似禽白血病的发病鸡群20份样本和正常鸡群10份样本, 均用ELISA、 RT-PCR以及IFA进行检测, 通过比较, 筛选出科学、 准确、 高效、 实用适合规模化检测且便于推广应用的检测方法。

1材料与方法
1.1试验材料
RNA提取试剂盒 (AXYGEN公司) ; 反转录试剂盒 (TakaRa 公司) ; 禽白血病抗原检测试剂盒(IDEXX公司) ; 抗ALV p27抗原的抗体 (由扬州大学秦爱建教授实验室提供) ; p27引物 (华大基因) ; 样品采自某规模化种鸡场。PCR仪 (9700型; 美国ABI公司) ; ELISA酶标仪 (Biotek 公司) ; DNA 凝胶电泳仪 (Bio-RAD 公司) ; MiniLumi凝胶成像系统 (DNR公司) 。
1.2试验方法
1.2.1禽白血病病毒检测方法的比较及筛选
对采集样本分别用ELISA、 RT-PCR以及IFA进行平行检测, 通过比较筛选出科学、 准确、 高效并且适合规模化检测的方法。

1.2.1.1 ELISA
用处理好的研磨器研磨组织, 离心后收集上清作为检测原。取 96 孔板恢复至室温, 其中第1~2孔为阴性对照, 第3~4孔为阳性对照, 在剩余检测孔加入组织悬液100 μL, 室温作用1 h; 用超纯水洗涤后加入酶标抗体 100 μL, 室温作用1h; 用超纯水洗涤后加入TMB显色液100 μL, 避光显色15 min后, 加入终止液100 μL, 读取OD650值。通过计算S/P值来判断结果。

1.2.1.2 RT-PCR
取适量组织, 用液氮冷冻并研磨成干粉, 提取总RNA, 反转录成cDNA后以其为模板, 用针对p27抗原的引物进行扩增。反应体系50 μL: 10×LABuffer 5 μL, dNTPs ( 10 mmol/L ) 4 μL, 上下游引物( 25pmol ) 各1 μL, 模板 (100 ng/μL) 1 μL, LA Taq酶(5 U/μL) 0.5 μL, 用双蒸水补充至 50 μL。反应程序: 95 ℃预变性 3 min; 94 ℃变性 1 min, 52 ℃退火1 min, 72 ℃延伸50 s, 35个循环; 72 ℃终延伸10 min。取PCR产物进行琼脂糖凝胶电泳, 观察并记录结果。
1.2.1.3 IFA
取组织上清液, 接种CEF细胞, 培养7d后固定细胞, 加入抗ALV p27抗原的抗体[6], 作用30 min 后用 PBS 缓冲液洗涤 3 次, 再加入 FITC荧光抗体, 作用 30 min 后用 PBS 缓冲液洗涤3 次, 滴加磷酸盐甘油后于荧光显微镜下观察结果。
1.2.1.4 3种方法的检测时间、 所需仪器和技术人员的比较
根据3种检测方法的特点, 对处理少量样品(100份) 和大量样品 (1 000份) 时所需设备、 检测时间以及技术人员进行统计比较。
1.2.2规模化种禽场禽白血病检测方法的初步应用
在规模化种禽场采集泄殖腔棉拭子、 蛋清样本采用筛选出的方法检测ALV p27抗原, 验证该方法在现场应用中的可行性。

2结果
2.1 禽白血病病毒检测方法的比较及筛选
2.1.1 ELISA结果表明发病鸡群的20份样品中, 第1~19号为阳性, 20 号为阴性; 健康鸡群的10份样本中(21~30号) , 24号为阳性, 其余为阴性。用酶标仪测得OD650值和S/P值见表1。
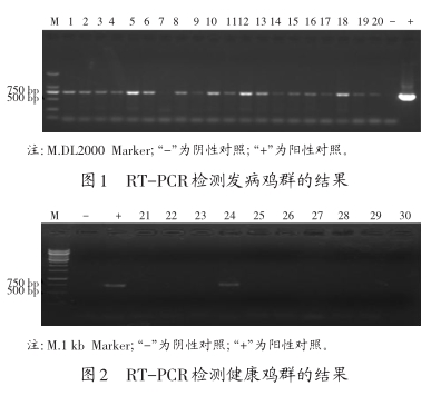
2.1.2 RT-PCR PCR扩增产物经琼脂糖凝胶电泳结果显示发病鸡群的20份样本均为阳性 (见图 1) ; 健康鸡群中的 10 份样本有 1份阳性 (24号) , 其余为阴性 (见图2) 。
2.1.3 IFA荧光显微镜下观察发现, 20份发病鸡群样本所感染的细胞均有特异性绿色荧光, 均为阳性(见图3) ; 10份健康鸡群样本所感染的细胞中只有 1 份 (24 号) 有特异性绿色荧光, 其余为阴性(见图4) 。
2.1.4 3种方法的检测时间、 所需仪器和技术人员的比较3种方法检测少量 (100份) 和大量 (1 000份)样品所需设备、 检测时间和技术人员比较结果见表2。结果显示, ELISA在检测效率上明显优于其它2种方法, 尤其在种鸡净化过程中需集中快速检测大量样本时, ELISA所需检测人员相对较少, 检测成本 (含设备费用) 相对较低, 检测时间也有明显优势。
2.2 规模化种禽场禽白血病检测方法的初步应用本研究运用不同方法检测相同样本, 通过比较结果准确性、 检测时间、 所需仪器以及人员要求等, 将ELISA确定为规模化种禽场禽白血病的检测方法并在某规模化种鸡场应用, 结果发现2~3人的检测队伍可以检测约三千份样本, 适合作为规模化种鸡群禽白血病净化时批量检测的工具。
3 讨论
本研究运用 3 种方法检测相同样本 (考虑RT-PCR 方法的操作性, 从某鸡场共采集 30份组织样本) , 从检测结果中可以看出, 3种检测方法的阳性符合率和阴性符合率均较高, 说明3种方法均可用于ALV的检测和诊断。
IFA方法灵敏度非常高, 但该方法需要技术员掌握细胞培养技术和相关免疫学实验技术,也需要较高的实验室条件, 如具备细胞培养设备、 倒置显微镜以及荧光倒置显微镜等, 所以该方法更适用于科研院校。Venugopal等、 秦爱建等分别利用该方法研制出的抗ALV-J的单克隆抗体进行IFA, 可以特异性鉴定ALV-J的变异株。RT-PCR方法可以检测ALV RNA,为ALV的检测提供可靠依据。Pham等应用RT-PCR方法监测蛋清中是否感染ALV, 并通过应用不同引物来鉴定其亚型。该检测方法主要特点是: ①需要技术员掌握较高的分子生物学技术, 如RNA提取技术、 PCR技术等; ②在大规模的RNA提取中易污染, 因此该方法要求的实验室环境条件较高, 也需要配置生物安全柜和超净台等设备; ③需要相对精密的仪器, 如PCR仪、 凝胶成像系统等; ④不便于大量样本的检测。因此, 该方法较适合于科研院校, 对于养殖企业、 基层动物疫病防控机构等一般不具备上述条件, 不便利用该方法在净化方案中承担批量检测的任务。
由于种禽禽白血病净化时, 每次检测的样品数经常高达数千份, 并且要求快速得到准确的结果, 以便及时周转鸡群并淘汰阳性鸡, 节省饲养成本, 所以需要考虑检测效率、 成本、 现场设备和技术人员配置等因素。ELISA方法操作简便, 对实验室条件和人员要求相对较低, 成本也相对较低, 该方法检测少量样本一般在3h内就可判断出结果, 大量样本时 (3 000份) 在1d内可以得出结果, 而IFA和RT-PCR方法需要8 d甚至更长的时间, 因此在种鸡净化中应用ELISA方法有助于及时周转鸡群并淘汰阳性鸡, 能够节省饲养成本。该方法更适合作为养殖企业观察鸡群感染ALV程度的监测工具以及净化时的批量检测工具。崔治中等、 秦爱建等以及陈福勇等均利用ELISA方法检测p27抗原或各亚群抗体进行流行病学调查。与其它检测方法比较, ELISA方法的灵敏度相对较低, 在规模化种禽场净化过程中, 需要运用其它方法辅助净化, 从而达到更好的净化效果。
